Our Patients:

Margot and Caratacus Stearns

IMG_3107

Erica Jolene Stearns was born with non-isolated esophageal atresia and tracheoesophageal fistula. She was mute until the age of 3, g-tube dependent until the age of 5, and tracheostomy dependent until the age of 15. Throughout her childhood and early adulthood, she witnessed her parents face numerous challenges as they confronted many complex medical issues. “Specialists say it is a miracle I can talk, eat, and drink on my own.”

Today, Erica and her husband, Randy, are the proud parents of two beautifully bald miracles, Margot and Caratacus. As a result of an extremely rare and only recently discovered genetic mutation, lanosterol synthase (LSS), their children have a long list of diagnoses including profound intellectual and physical disabilities, malignant migrating epilepsy, and ichthyosis (a group of skin disorders characterized by sometimes painful, and dry, scaly, or thickened skin). Margot and Caratacus are non-verbal, g-tube dependent, have cortical visual impairment, and cerebral palsy.

Though two years apart, they are nearly identical in many ways. Out of 7.7 billion in the world, they were the first two documented cases of this mutation. The genetic mutation is autosomal recessive, meaning Erica and Randy both have a recessive form of this rare mutation, and when their DNA combines, there is a 25% chance of this recurring with each child.

The beginning of Erica’s journey as a complex needs parent was equal parts unexpected and frightening, as it was happy and exciting. She soon realized that the sum of her life experiences had prepared her to be exactly the mother her children needed her to be: a fierce, vocal, and experienced advocate for their quality of life. Randy and Erica both agree that they were meant for this, if not destined for it.  Randy states, “I don’t ask ‘Why me?’, I just think ‘Why not me? Why not us?’ We were clearly destined to do this job of loving these children with all of our hearts…and we are pretty great at it. So why wouldn’t we be the chosen ones for this?”

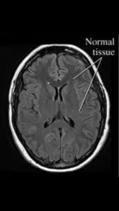
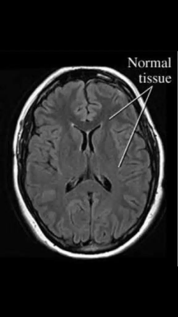
“The first few weeks of Margot’s life back in 2016 were some of the scariest days of our lives,” recalls Erica.  “We immediately fell in love with our little lady when she was born, but we knew within the first hour that something was wrong. An EEG confirmed that she was suffering from seizure activity every 2 seconds. She had low muscle tone and absolutely no hair growth. After an MRI confirmed that she was born with a congenital brain malformation, she was quickly transferred to the NICU at a nearby children’s hospital,” says Erica.

After 6 weeks in the NICU, along with many blood tests, genetic, metabolic, and neurological tests; a team of several neurologists, neonatologists, geneticists, and dermatologists could not tell Erica or Randy a known cause or give them a concrete diagnosis. The care team repeatedly used the phrase, “…only time will tell.”

Margot was finally able to come home on a strict regimen of multiple seizure medications given around the clock. Even with that, Erica and Randy saw many bad days with seizure activity so unrelenting, clustering and constant, that her body couldn’t reach a comfortable baseline long enough to take a bottle. “There is no way to describe how defeated and helpless we felt as we waited for her to recover on days like those,” Erica said. “Each of those medications has a long list of side effects such as severe fatigue, drooling, muscle weakness, disorientation, blurred vision, aggression, depression, severe anxiety, nervousness, loss of memory. I knew that these meds were preventing her from hitting milestones that healthy babies would normally make. In an effort to explore some alternative therapy, I sought out Dr. Glen Fenton at SSM Health Cardinal Glennon Children’s Hospital,” said Erica.

“Our visit was great. He was kind, compassionate, a great communicator, and spent a solid hour with us as we went back and forth with questions so that we all felt comfortable and familiar with one another. He sat down at our level. He chose to carefully elaborate on the very serious risks of Margot’s condition and how we could do our best as her parents and advocates to get her strong, to get her moving so that she could have the best chance possible at reaching new milestones. The way he approached this topic openly and honestly left me feeling a great sense of comfort with my daughter being in his care,” Erica said.

Despite the multiple medications plus alternative therapy that Margot was on for her first several months of life, her EEG confirmed that she was still having constant seizure activity in the back of her brain in both hemispheres. This seizure activity would likely make it difficult for her to process information, ultimately making it difficult for her to have a chance to learn. While her eyes and ears could appear to function normally, her ability to process what she sees and hears would be greatly hindered.  In other words, there wasn’t much more they could do.  It was explained to Erica and Randy that Margot’s condition was incredibly rare to see in infants – that in the 1% of documented epilepsy cases like hers, the babies rarely see the outside of the hospital.  And while this news was scary and a heavy dose of reality for Erica and Randy, their goal was to manage her care at home.

Rewinding a bit, it’s worth noting that Randy and Erica had exome sequencing done on all three of them after Margot was born.  It came back normal. They moved forward with life and were assured that the chances of her condition recurring in future children was less than 1%. It wasn’t until their son, Caratacus was born in 2018, with the identical presenting conditions when it became glaringly obvious that they had some sort of rare genetic condition recurring.

Erica had spent her second pregnancy dreaming of how healing it would be to have the experience of bringing home a healthy newborn baby. This dream did not play out as she had imagined. Caratacus was born with many similarities to Margot: no hair, seizures, brain abnormalities, and very rare congenital

dermatological issues. Understandably, this was heart-wrenching for Erica and Randy, but Erica knew from the moment he left her arms that he was in excellent care – allowing her heart and mind to never doubt his well-being once he arrived at Cardinal Glennon. Caratacus was transferred to Cardinal Glennon’s NICU, where a team of specialists was lovingly awaiting him. His skin condition was much more severe and painful than what was experienced with Margot.

Cary’s near-identical condition helped fuel the fire of their dermatologist.  She promptly reached out to her peers at Yale. Yale responded with interest in studying their entire human genome.  Whole human genome testing is rarely done outside of research purposes. It is typically only done in special cases that can help further the research of someone in a specific field related to a possible genetic condition. 

Margot and Cary are “frequent fliers” at Cardinal Glennon. Both are considered immunocompromised and struggle with respiratory issues that stem from their low muscle tone and inability to swallow safely or cough on their own. While at home, they have what is described as a “mini-hospital” setup, complete with monitors and life-sustaining medical equipment that helps them do things like mechanically produce a cough, eat, and maintain healthy oxygen levels. While this setup helps to provide them a comfortable and happy life while at home, they do occasionally require interventions that only the hospital can provide.

They enjoy being talked to, sung to, danced with, snuggled, watching movies, playing with switch-adapted toys (thanks to Randy’s tinkering skills), having books read to them, and visits from their adoring cousin, Josey. On warm days, they enjoy being in their standers, watching the leaves dance in the trees and bubbles float by in the breeze.

Margot explodes with smiles and goofiness when she awakes from a good sleep. Cary is the classic little brother, a complete attention hog, and a total flirt. They both have their own unique way of communicating with us through grunts, moans, snorts, and vocalizations; they know exactly how to get our attention and we have come to learn what each sound means. To know them is to know unconditional love and unconditional happiness.

Through the gracious support of wonderful friends, Erica was encouraged to use her unique voice to share more about her atypical life.

The word atypical was one she and Randy began to hear on repeat throughout the first year of their children’s lives. “Initially, I despised this word and all that it stood for because it felt like a medically PC way of saying ‘different from everyone else.’ The most despised aspect of this word was understanding that it meant we were heading down a path rarely traveled by others, a path in which

science ends and faith begins, a path where no miracle drug existed, a path with no road signs directing what turns to take, advising what decisions to make, nor indicating what the future might hold,” Erica said. “Upon examining my own life experiences with disability, I came to see the beauty of the unknowing and the life unlived by many others. I began to wear atypical with pride and embrace the beauty of my atypical life.”

The truth component of the title was derived from Erica’s desire to enlighten other complex needs caregivers by providing a multi-dimensional perspective of this life from all angles. Through the lens of her experience in all roles (patient, parent, caregiver, and medical professional), she says with confidence that it is integral for our community to learn from storied experiences to better understand the journey, purpose, and intentions of those who enter their complex lives.

Erica explains, “Atypical Truth is an accessible public space where people like me can honestly explore vulnerable subject matter free of judgment. We will celebrate the smallest victories, revel in new discoveries, discuss the shared obstacles, and learn helpful coping strategies from the challenges that others have overcome. Atypical Truth will be a platform for the disabled and medically complex community to refer to when in need of finding their people, using their voice, and hearing stories that mirror their own. My hope is for this podcast to serve as a platform to bridge the physical gap between our rare but shared lives.”